Spinal Surgery on the 28th.
Thread Starter
Registered User
iTrader: (1)
Joined: Oct 2007
Posts: 929
From: San Jose, CA
Car Info: 07 350Z
Spinal Surgery on the 28th.
Hey guys, I don't post much here that much, some of you may not remember me or even know me. I have been very busy for the past few months with school and with my back. I have been dealing with scoliosis for over a year and a half now. And It turns out I first caught it after my growth spurt when I was 18. I had an x-ray and it was "supposedly" 15 degrees by stupid doctor number 1. It wasn't actually 15 degrees, it was 40 degrees and by 09, it had gone to 53*. Now my only option is a spinal fusion. It's really a big problem for me, it causes daily pain. I am having surgery Monday, December 28, 2009. I would just really like it if you guys wished me luck and kept me in your prayers so I have a safe surgery and have no problems. Thanks.
John
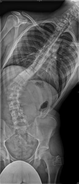
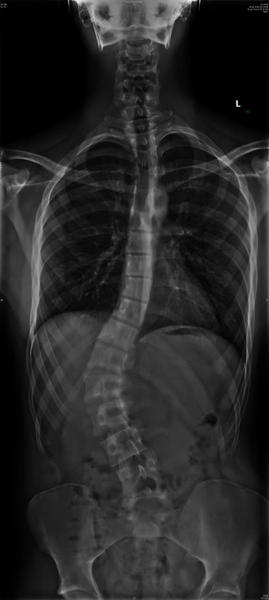
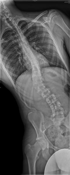
Here are some X-rays to show you how my spine looks.
John
Here are some X-rays to show you how my spine looks.
Registered User
iTrader: (23)
Joined: Feb 2009
Posts: 2,674
From: South SF
Car Info: 97' Dodge Cummins and an RSTI thingie
Hey man, good luck with your surgery, I had 3 spinal surgeries and had 2 rods placed and spinal fusion between the ages of 8 and 15. It is going to suck ***, but you'll be a lot better off when you get better.
Don't plan on doing much of anything for the next 4 months or so. I'd recommend getting an egg crate mattress putting it on top of your main mattress, any extra padding helps. You might want to practice getting in an out of bed before you go in, what I always did is log roll so my side was along the edge of the bed and kick my legs down and pushed up with my arms to sit up with the back completely straight.
Also make sure there's something to grab on to for when you go to the bathroom, the 6-8" drop of sitting on the toilet is MURDEROUS! If you don't have a countertop to hold on to, install a handle bar near it.
Also, make sure you have a really comfy chair to sit in, a high back wing chair works best because any bending/slouching of the back kills. I used to sleep upright in a chair a lot, because it hurt less than to lay down.
I hope you the best, but just be happy in the fact that in less than a year you'll be painfree. I'll keep you in my prayers man.
Don't plan on doing much of anything for the next 4 months or so. I'd recommend getting an egg crate mattress putting it on top of your main mattress, any extra padding helps. You might want to practice getting in an out of bed before you go in, what I always did is log roll so my side was along the edge of the bed and kick my legs down and pushed up with my arms to sit up with the back completely straight.
Also make sure there's something to grab on to for when you go to the bathroom, the 6-8" drop of sitting on the toilet is MURDEROUS! If you don't have a countertop to hold on to, install a handle bar near it.
Also, make sure you have a really comfy chair to sit in, a high back wing chair works best because any bending/slouching of the back kills. I used to sleep upright in a chair a lot, because it hurt less than to lay down.
I hope you the best, but just be happy in the fact that in less than a year you'll be painfree. I'll keep you in my prayers man.
Last edited by code3suby; Dec 24, 2009 at 01:31 PM.
Registered User
iTrader: (4)
Joined: Nov 2005
Posts: 888
From: Bay Area, CA
Car Info: Steel Gray 2006 STi MBP 2012 Impreza Sport
best of luck with your surgery. i had surgery on my arm last month and i had 4 screws put in. it sucks but at least you will feel better


